GPS Academy/Inclinometer - Spine Path

  • Free

Inclinometer - Spine Path

  • Course
  • 5 Lessons

The D'Osualdo inclinometer is a device with two important functions: on one hand the tool estimates the angle of trunk rotation during the Adam’s forward bending test while on the other hand helps measuring the Cobb angle on radiographs. The inclinometer, thus, can be used to evaluate spine curves on the frontal plane (scoliosis) and on the sagittal plane (kyphosis and lordosis).

5

Number of lessons included

7 min

Total duration of the course

First

Course level

What will you learn?

Measurement on patient - during the forward bending test the patient has to reach the standard position with knees extended, arms hanging and trunk bent forward. The inclinometer is then placed on the back and the rod is moved until the bubble is centred. The clinician can read either immediately the angle of rotation or after the tool removal while fixing the rod between their fingers. The clinician is then able to identify the most rotated vertebrae simply repeating the measurements along the thoracic and lumbar segments.

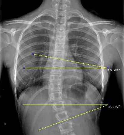
The Cobb angle is found on radiographs by placing the inclinometer on the spine’s most tilted vertebra above the curve’s apex and then on the most tilted vertebra beneath the apex. The rod bubble has to be centred to determine the angle of inclination. The Cobb angle is found adding the two angles together. 

Insight

The inclinometer and the Cobb angle

The inclinometer is very useful for quickly identifying the most inclined vertebrae on the X-ray.

Description

The clinical examination of the column, in addition to observation and some small maneuvers, can be enriched by a series of measurements with manual, non-invasive instruments.

These instruments will never replace the X-rays simply because measuring the surface of the back does not coincide with measuring the column. However, they provide us with valuable information such as the identification of a range of normality and a threshold value, but above all they allow us to locate, with precision, changes over time.

The practice of using these instruments makes the repeatability of measurements excellent; the total absence of invasiveness allows to carry out all the necessary controls without limits.
The inclinometer is an almost rectangular-shaped device made of plexiglas with a goniometric scale. The tool has a small, rotating rod on its centre with a bubble on its shorter extremity. The longest side of the rod indicates the estimated values of rotation or inclination on the goniometric scale. If spinous processes are particularly protruding, the inclinometer can still be used placing its central recess over them.

Lecturer

Dr.

Flavio D'Osualdo

Neurologist and Doctor of Physical Medicine and Rehabilitation, Past-Director of the Pediatric Rehabilitation Unit of the Rehab Hospital IMFR “Gervasutta”, Udine – Italy

Project Manager and written work

Dr.

Arianna Michelutti

Doctor of Physical Medicine and Rehabilitation, La Nostra Famiglia, I.R.C.C.S. E. Medea, Pasian di Prato e S.Vito

Assistant Project Manager

Who can be interested in this course?

The Spine-Path procedure has been developed to help clinicians dealing with adolescents affected by idiopathic scoliosis during their evaluation and clinical decision-making process.

The Spine-Path procedure has been specifically developed for children and adolescents aged 9-15 with suspected scoliosis.

Although idiopathic scoliosis is the most common type of spine deformity, its diagnosis is still made by exclusion. The first medical examination of an adolescent with suspected scoliosis consists of a detailed personal and family medical history, a physical examination to exclude associated symptoms or other underlying conditions, the spine alignment and mobility evaluation on all planes, the collection of any auxological information at disposal.

Contents

Inclinometer

Lesson 1 - Initial presentation
  • 1 min
  • 21.8 MB
Lesson 2 - How to use it
  • 2 mins
  • 26.4 MB
Lesson 3 - Two risks to avoid
  • 2 mins
  • 25.2 MB
Lesson 4 - The strengths of the tool
  • 1 min
  • 21.2 MB
Lesson 5 - Directly on the X-ray
  • 1 min
  • 15.9 MB

STAY UP TO DATE!

SUBSCRIBE TO OUR NEWSLETTER
You will receive periodical updates on our activities and training opportunities.
Join the GPS Academy community NOW!

You’re signing up to receive periodical updates from the GPS Academy

Testimonials

The course seems to me an excellent initiative and I see the format well. The slides supporting the concepts expressed and the muscles mentioned are truly important.

Massimiliano Scerra (Dominican Republic)

Good idea. It is very useful.

Dr. Bogdan Ambrožič (Slovenia)

GPS Academy®

"More Information, Better Rehabilitation" in cooperation with Chinesport Spa – Italy