REQUEST FOR RADIOGRAPHY
The accurate selection of patients can help reducing the amount of prescribed radiographs and the risk of losing those which may require some kind of treatment.

Radiographs should be asked by clinicians able to interpret them correctly and taken in well equipped centres.

The posterior-anterior projection is acquired having the patient standing and protecting gonads.

Whether the lateral projection can be of help is still a matter of discussion among clinicians. The lateral view is still recommended in many guidelines to complete the first visit, in any case of misalignment on the sagittal plane, such as the flat-back, or in case of pain. In all other cases, lateral projection probably does not add any useful information to the clinical evaluation.
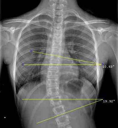
THE COBB ANGLE
The Cobb angle is calculated drawing firstly two parallel lines tangential the two must tilted vertebrae above and below the curve’s apex and, secondly, two perpendicular lines crossing the tangential ones. The angle is measured at the intersection of the perpendiculars. The inclinometer helps quickly identifying the most tilted vertebrae on radiographs.

On traditional radiographs, the Cobb angle can be drawn using ruler and pencil and measured with a goniometer. The inclinometer can ease the measurement simply placing the tool at the spine’s most tilted vertebra above and beneath the curve’s apex and adding their angle of inclination together.

If radiographs are seen on the computer, the Cobb angle is measured adding together the angles of inclination of the two most tilted vertebrae above and beneath the apex with respect to the horizontal line and using the tools available on the disk (see image).

If the vertebral edge cannot be clearly identified, the tangent to the pedicle is considered the reference point.
VERTEBRAL ROTATION
One of the typical elements of scoliosis is the spine twist. The term vertebral rotation indicates the torsion degree of the vertebrae at the curve’s apex which has generally the highest degree of rotation.

Several methods describe vertebral rotation. The most commonly used ones consider as reference point the pedicles’ asymmetry. The method of Raimondi is probably the most precise one but several others are still used such as the Nash & Moe and the Pedriolle ones.
THE RISSER SIGN
The Risser sign describes a phase of skeletal maturity based on the observation of the iliac crest ossification stage. The ossification process starts from the most lateral portion of the iliac apophysis and continues until the whole iliac crest is completely fused.

Although the Risser sign is still widely used by clinicians, such a diagnostic tool does not provide any information about the initial stages of development. The ossification centre, indeed, is observed initially towards the end of the peak growth spurt.
THE HAND RADIOGRAPH
The hand radiograph is asked to assess bone age and this ca be estimated with a six-month margin of error. The most commonly used reference standard is the atlas published by Gruelich and Pyle which analyses not only growth plates but also the form and dimension of phalangeal and carpal bones.

The hand radiograph is a precious tool when deciding whether or not starting any kind of treatment and whether or not asking a radiography of the spine in case reliable data about growth velocity curve should lack and in case of conflicting data about the developmental phase such as lower-than-normal growth velocity or menarche absence.